KUOTA PROMO SUDAH DIAMBIL 93%

Pasang Behel Gigi Nyaman & Rapi

Sempurnakan senyum indahmu

Pasang behel berkualitas kini lebih mudah. Senyum impian-mu ditangani langsung oleh dokter berpengalaman dan menggunakan bahan-bahan premium dengan harga yang terjangkau!

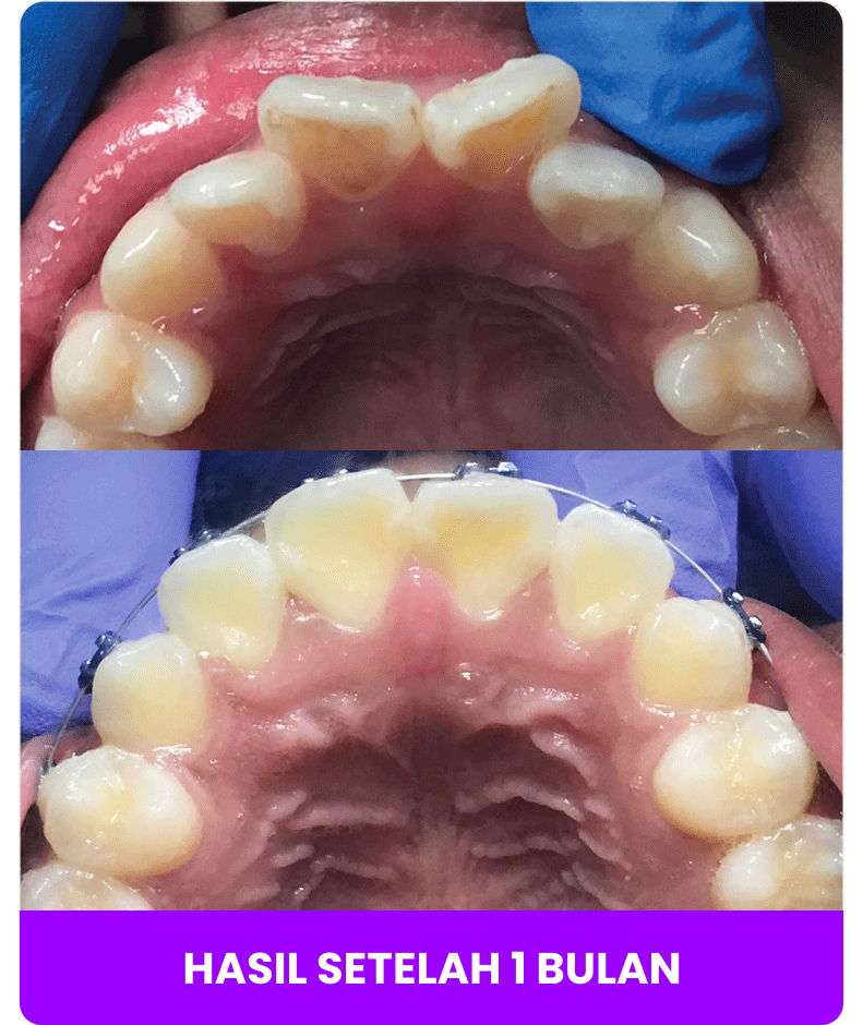
Hasil Behel Gigi di Dr. Smile

Kualitas berbicara melalui hasil. Kami telah membantu 3.517+ pasien meraih senyum impian melalui pemasangan behel yang bisa terlihat hasilnya sejak 1 bulan pemakaian.

Dipercaya oleh ribuan pelanggan

Mulai Perjalanan Senyum Impianmu Sekarang

Alasan Ribuan Pasien Mempercayakan Senyumnya pada Kami.

Kami merancang Signature Treatment Plan yang dikurasi khusus sesuai anatomi wajah dan kebutuhan anda. Analisis mendalam pada setiap kasus memastikan perawatan lebih personal, presisi, dan hasil akhir yang memukau.

Pilihan Lengkap, Hasil Akurat.

Tersedia tiga jenis behel untuk kebutuhanmu: Metal Standart, Metal Premium, hingga Self Ligating sebagai solusi tercanggih bagi anda yang ingin perawatan lebih cepat dengan hasil maksimal.

Transformasi Behel di Tangan Ahlinya

Setiap prosedur behel ditangani langsung oleh dokter gigi berpengalaman untuk memastikan setiap pergeseran gigi terpantau presisi dan nyaman selama perawatan.

Metode Pembayaran yang Mudah dan Ringan

Nikmati transparansi biaya dan promo behel menarik di Dr. Smile. Kami menyediakan solusi cicilan ringan agar impian gigi rapi tetap nyaman di kantong.

Metode Pembayaran Yang Mudah Dan Ringan

Wujudkan impian memiliki gigi rapi tanpa rasa khawatir. Kami menghadirkan transparansi harga penuh tanpa biaya tersembunyi.

Behel Metal Standart

Behel metal Standart memadukan efektivitas medis dengan kebebasan berekspresi. Pilih palet warna karet yang dikurasi khusus sesuai kepribadian anda. Solusi modern bagi  yang menginginkan hasil presisi, daya tahan tinggi, namun tetap ramah di kantong.

Behel Metal Premium

Behel Metal Premium terbuat dari bahan metal pilihan berkualitas tinggi yang lebih kuat namun tetap ringan. Dipadukan dengan desain ultra-slim yang lebih mungil, behel ini menawarkan tampilan yang jauh lebih estetik dan bersih. 

Behel Self Ligating (Modern Technology)

Menggunakan material logam cerdas dengan mekanisme klip otomatis, behel ini menghilangkan kebutuhan karet warna-warni, sehingga ukuran behel jauh lebih mungil dan estetik. Lebih nyaman, kontrol lebih jarang, dan hasil yang jauh lebih cepat.

Testimoni

Nadia Safira 21 Tahun

Awalnya takut pakai behel karena denger cerita temen katanya sakit banget. Tapi di dr.smile dokternya sabar banget jelasin semuanya. Proses pasangnya ternyata nyaman, dan yang paling seru bisa ganti-ganti warna karet tiap bulan! Worth it banget buat yang mau rapiin gigi tanpa drama.

Namira Wirasti 23 Tahun

Puas banget sama transparansi biayanya. Di dr.smile harganya jujur dari awal, nggak ada biaya tersembunyi. Opsi cicilannya juga ringan banget, jadi nggak ganggu cashflow bulanan. Sekarang baru 6 bulan progresnya udah kelihatan banget, makin pede kalau meeting sama klien!

Andra Pratama 25 Tahun

Saya pilih paket Self Ligating di sini dan hasilnya luar biasa. Dokternya sangat detail dan profesional saat pemeriksaan pakai kamera intraoral tadi. Kliniknya bersih, alatnya modern, dan jadwal kontrolnya nggak seribet yang saya bayangkan. Benar-benar pelayanan kelas satu!

dr. Aditya Wardhana 45 Tahun

Sebagai tenaga medis, saya sangat selektif memilih klinik gigi. Di dr.smile, saya melihat standar sterilitas dan protokol medis yang dijalankan dengan sangat ketat. Penggunaan teknologi kamera intraoral untuk diagnosa awal menunjukkan bahwa klinik ini sangat mengutamakan presisi. Saya mempercayakan perawatan behel saya di sini karena keahlian dokternya yang benar-benar kompeten.

dr. Melina Kristanti 38 Tahun

Saya memilih perawatan Self Ligating di dr.smile karena efisiensi teknologinya. Sebagai dokter dengan jadwal yang padat, saya butuh perawatan yang minim rasa sakit dan kontrol yang lebih fleksibel. Penanganan rekan sejawat di sini sangat profesional dan komunikatif.
Menyenangkan sekali bisa menjadi pasien di klinik yang memahami detail medis sedalam ini.

tunggu apa lagi

Gigi Anda tidak akan rapi dengan sendirinya.

Konsultasi sekarang untuk mendapatkan Senyum Impian Anda.

Pertanyaan Umum Yang Sering Ditanyakan

Berapa lama perawatan behel?

Lama perawatan behel bisa berkisar dari rata-rata 6 – 24 bulan, tergantung tingkat keparahan gigi setiap individu

Pada dasarnya proses pergerakan gigi akan menimbulkan rasa tidak nyaman. Namun tidak perlu khawatir karena rasa tidak nyaman tersebut hanya sementara sekitar 1-3 hari.

Tentu bisa, karena kami menawarkan berbagai macam alternatif metode pembayaran mulai dengan bunga 0%

Frekuensi kontrol tergantung pada jenis behel yang digunakan. Khusus jenis Self Ligating kontrol jadi lebih jarang dan hasilnya jauh lebih maksimal.

lokasi kami

Kunjungi Klinik Kami

Kami hadir dengan lokasi strategis dan mudah dijangkau untuk kenyamanan Anda.

© 2026 Dr. Smile Dental Clinic — All right reserved
kuota promo sudah diambil 93%